European Conference on Embolotherapy
ET countries
GENERAL - ET 2026

June 17-20 | Valencia, Spain

Mastering embolization

June 17-20 | Valencia, Spain

Mastering embolization

June 17-20 | Valencia, Spain

Mastering embolization

June 17-20 | Valencia, Spain

June 17-20 | Valencia, Spain

ProgrammeSneak peeksEmborrhoid: recurrent bleeding

Emborrhoid: recurrent bleeding

 

Three things you will learn at my lecture

1. Careful patient selection is essential to optimize outcomes.

2. Embolization strategy should be adapted to the angiographic anatomy.

3. Recurrence can be effectively managed with structured follow-up and repeat interventions.

Dr. Farouk Tradi
Speaker bio
 

Hemorrhoidal symptoms

Hemorrhoidal disease is the most common anorectal disorder, affecting millions of people worldwide and representing a significant medical and socioeconomic burden. Chronic bleeding is the main symptom of internal hemorrhoids and may be associated with hemorrhoidal prolapse and pain, which can significantly impair quality of life.

Rationale for embolization

Anatomical studies have confirmed the vascular theory of hemorrhoidal disease, demonstrating the arterial supply of the corpus cavernosum recti (CCR) through branches of the superior rectal arteries (SRA) (1).

Based on this concept, embolization of the rectal arteries, also known as the Emborrhoid technique, has emerged as an effective minimally invasive option for the treatment of chronic hemorrhoidal disease. In 2014, Vincent Vidal and colleagues first described the successful embolization of the superior rectal arteries in two patients with chronic hemorrhoidal disease (2). Since this initial report, the technique has been refined and evaluated in several clinical studies, confirming its feasibility, safety, and promising clinical outcomes (3,4).

New anatomical findings

Over the past 15 years, the growing interest of interventional radiology in hemorrhoidal embolization has led to a better understanding of hemorrhoidal vascularization and its anatomical variations. Based on recent anatomical and angiographic observations, a new classification of hemorrhoidal arterial supply has been proposed, consisting of three main vascular patterns that can directly influence the embolization strategy (5).

These anatomical variations involve the middle rectal arteries (MRAs) in approximately one-third of cases. A detailed understanding of the arterial anatomy of hemorrhoidal vascularization is therefore essential, as it allows the operator to anticipate potential variants and adapt the embolization technique during the procedure.

Figure 1. Anatomical classification of arterial supply of hemorrhoids. https://doi.org/10.1148/rg.220014

Reduced recurrence rate

Appropriate patient selection is probably the most effective way to reduce treatment failure, by targeting sufficiently symptomatic patients and carefully excluding differential diagnoses such as tumours or anal fissures (6). The success rates reported in the literature are high, ranging from 63% to 94%, with no major complications (7).

Bleeding recurrence remains the main cause of clinical failure and occurs in our experience in one third of cases (4). It can be managed either with repeat embolization or by referral for proctological or surgical treatment.

This raises the question of whether routine embolization of a hypertrophic middle rectal artery (MRA) should be performed during the initial procedure. When the MRA is of significant caliber, it appears reasonable to embolize it in addition to the SRA. Embolization of the MRA may help reduce the risk of symptom recurrence and the need for repeat embolization in the long term (8).

The use of cone-beam CT–based embolization planning software may facilitate identification, segmentation, and navigation of the MRA, particularly through augmented fluoroscopy guidance (5).

Embolic materials

The highest efficacy rates have been reported with the use of large microspheres combined with microcoils (9). Microspheres allow more distal embolization within the corpus cavernosum recti (CCR). However, the rate of minor complications is higher, approaching 50%, and mainly consists of small ischemic ulcerations of the anorectal junction (9). At present, there is insufficient evidence to recommend particle embolization over coil embolization (8). According to the available literature, large microspheres (>700 μm) delivered through selective and non-wedged infusion targeting a hypertrophied CCR, appear to be safe, and their use may reduce the recurrence rate compared with coil embolization alone.

Liquid embolic agents are not recommended for hemorrhoidal embolization because of the risk of anorectal ischemia (10).

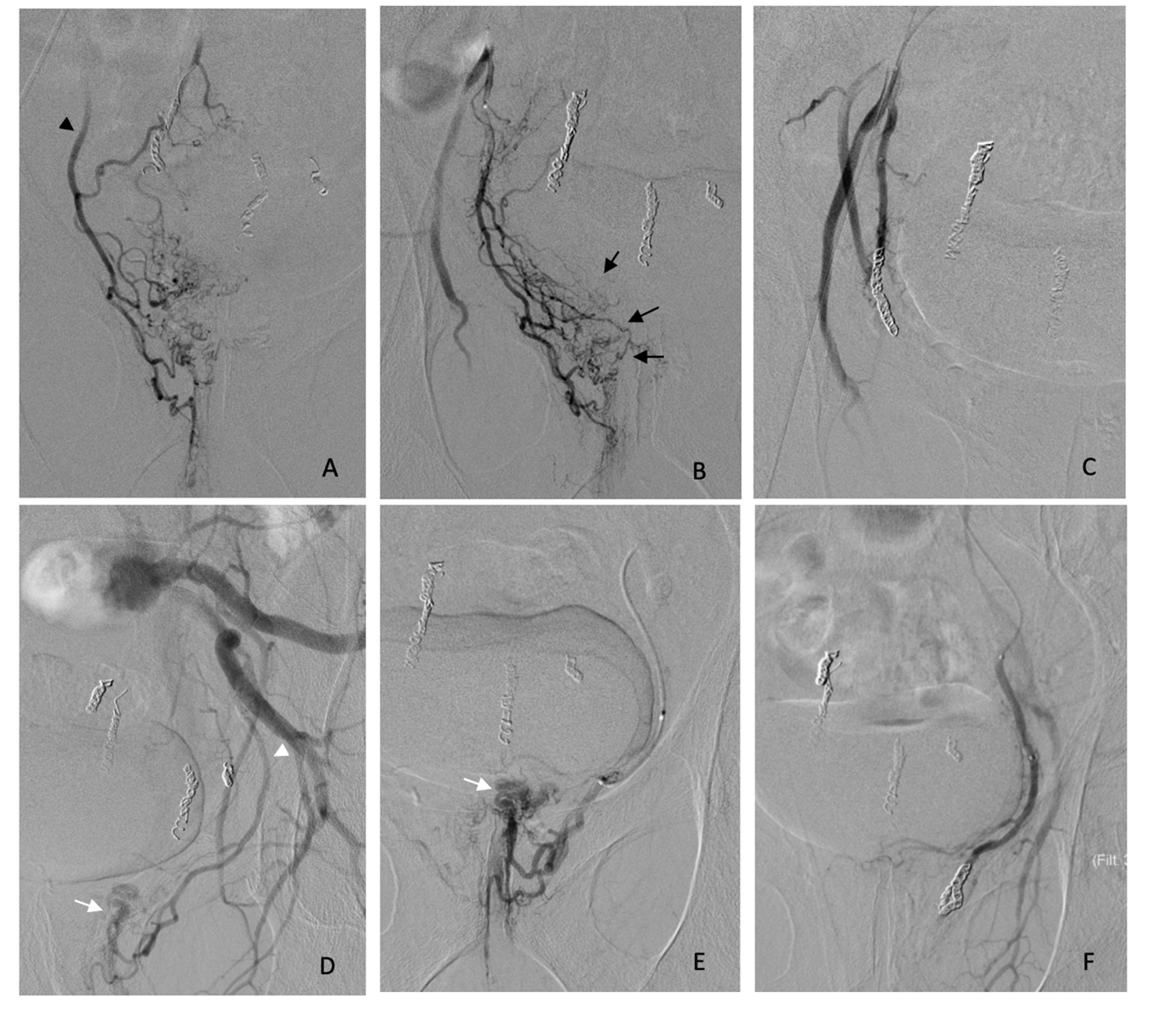
Figure 2. Redo embolization performed 3 months after an initial Emborrhoid procedure for persistent chronic bleeding associated with severe anemia. A) Retrograde opacification of the hypertrophic right MRA (black arrowhead) following SRA injection. D) Anterograde opacification of a markedly enlarged left MRA, not visualized on power injection through the SRA (white arrowhead). B) and E) Selective antegrade catheterization of both the right and left MRAs, with opacification demonstrating intense pseudotumoral enhancement of the right CCR (black arrows) and a large arteriovenous fistula (white arrows). C) and F) Angiographic images demonstrating technical success of embolization of the right and left MRAs using a combination of large microspheres and microcoils. The patient remained free of symptom recurrence after 5 years of follow-up.

Farouk Tradi

La Timone University Hospital, Marseille/FR

Dr. Farouk Tradi is an Associate Professor and Consultant in Diagnostic and Interventional Radiology at La Timone University Hospital (AP-HM, Aix-Marseille University, France). His clinical practice is primarily dedicated to oncology, with a particular focus on the management of primary and secondary liver tumors, from diagnosis to post-treatment follow-up. He is actively involved in the planning of loco-regional therapies and the assessment of treatment response, particularly following thermal ablation and radioembolization. Dr. Tradi holds a PhD focused on the Emborrhoid technique and completed a clinical and research fellowship at the Université de Montréal, Canada. His research activities are conducted within the Interventional Imaging Laboratory (LIIE) led by Professor Vincent Vidal, with a focus on translational and preclinical research, particularly on novel embolic agents and interventional oncologic therapies. He is also actively engaged in academic teaching and in the training of residents in diagnostic and interventional radiology and regularly contributes to educational activities at the French National Congress of Radiology.
 

References

  1. Aigner F, Bodner G, Conrad F, et al The superior rectal artery and its branching pattern with regard to its clinical influence on ligation techniques for internal hemorrhoids. Am J Surg 2004;187(1):102–108.
  2. Vidal V, Louis G, Bartoli JM, Sielezneff I. Embolization of the hemorrhoidal arteries (the emborrhoid technique): a new concept and challenge for interventional radiology. Diagn Interv Imaging. 2014; 95(3):307-15. doi: 10.1016/j.diii.2014.01.016.
  3. Vidal V, Sapoval M, Sielezneff Y, et al. Emborrhoid: a new concept for the treatment of hemorrhoids with arterial embolization: the first 14 cases. Cardiovasc Intervent Radiol. 2015;38(1):72-78. doi:10.1007/s00270-014-1017-8.
  4. Tradi F, Louis G, Giorgi R, et al. Embolization of the Superior Rectal Arteries for Hemorrhoidal Disease: Prospective Results in 25 Patients. J Vasc Interv Radiol. 2018;29(6):884-892.e1. doi:10.1016/j.jvir.2018.01.778.
  5. Panneau J, Mege D, Di Bisceglie M, et al. Rectal Artery Embolization for Hemorrhoidal Disease: Anatomy, Evaluation, and Treatment Techniques. Radiographics. 2022;42(6):1829-1844. doi:10.1148/rg.220014
  6. Fathallah N, Beaussier H, Chatellier G, et al. Proposal for a New Score: Hemorrhoidal Bleeding Score. Ann Coloproctol. 2021;37(5):311-317. doi:10.3393/ac.2020.08.19
  7. Makris GC, Thulasidasan N, Malietzis G, et al. Catheter-directed hemorrhoidal dearterialization technique for the management of hemorrhoids: a meta-analysis of the clinical evidence. J Vasc Interv Radiol 2021;32(8):1119–1127.
  8. Moussa N, Bonnet B, Pereira H, et al. Mid-Term Results of Superior Rectal Artery and Coils for Hemorrhoidal Embolization with Particles Bleeding. Cardiovasc Intervent Radiol. 2020;43:1062–1069. doi: 10.1007/s00270-020-02441-5.
  9. Küçükay MB, Küçükay F. Superior Rectal Artery Embolization with Tris-Acryl Gelatin Microspheres: A Randomized Comparison of Particle Size. J Vasc Interv Radiol. 2021;32(6):819-825. doi:10.1016/j.jvir.2021.02.011
  10. Tradi F, Panneau J, Brige P, et al. Evaluation of Multiple Embolic Agents for Embolization of the Superior Rectal Artery in an Animal Model. Cardiovasc Intervent Radiol. 2022;45(4):510-519. doi:10.1007/s00270-021-03041-7