European Conference on Embolotherapy
ET countries
GENERAL - ET 2026

June 17-20 | Valencia, Spain

Mastering embolization

June 17-20 | Valencia, Spain

Mastering embolization

June 17-20 | Valencia, Spain

Mastering embolization

June 17-20 | Valencia, Spain

June 17-20 | Valencia, Spain

ProgrammeSneak peeksNeurotechniques for peripheral intervention

Neurotechniques for peripheral intervention

 

Three things you will learn at my lecture

1. Neurovascular devices and techniques, such as balloon-remodelling, stent-assisted coiling, and flow diverters, are increasingly being adapted for complex non-neurovascular interventions, especially visceral and peripheral aneurysm treatments.

2. Embolisation agents originally used in cerebral AVMs, like EVOH-based materials, have proven effective and controllable in a variety of peripheral vascular and tumour embolisation procedures.

3. Advances in aspiration catheter technology, influenced by neurointerventional practices, have led to more effective thrombus removal in peripheral arteries and show promise for pulmonary embolism treatment, potentially changing future management strategies.

Prof. Klaus A. Hausegger
Speaker bio
 

Technologies originally designed for neurovascular procedures can also be utilized in non-neuro interventions. This lecture will discuss several related topics.

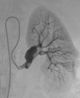
Treatment of complex aneurysms: Treatment of complex intracranial aneurysms often involves balloon-remodeling, stent-assisted coiling, or flow diverters. These methods can also be used for non-neurovascular procedures, specifically in treatment of visceral aneurysms. Renal artery aneurysms are most frequently located in the renal hilum, where the main renal artery diverts into its ventral and dorsal branch. Preservation of all renal artery branches may request advanced techniques as mentioned above (1); Fig 1,2.

Flow-induced aneurysms located at the pancreas arcade may also be quite complex in their angioarchitecture, quite often they are multiloculated and or fusiform. Stent-grafts intended for use in the coronary arteries typically lack suitability for these sites, as their diameter is often too small and their length is too short. Conversely, stent-grafts manufactured for peripheral applications tend to be too rigid and require larger introducer systems, which may not be appropriate for these locations. Therefore, the flow-diverter technology may be applied in these type of aneurysms. Recently, large diameter flow diverters with a diameter up to 8 mm have become available. An on-going multicentric study will evaluate these devices clinically (2,3).

Embolisation: Ethylene vinyl alcohol copolymer (EVOH) based embolization agents have been first used in treatment of cerebral arterio-venous malformations (AVM´s). The advantage of this type of embolization devices compared to alternatives is the non-adhesive character and the “lava-like” flow properties. This makes the application of the embolic material very controllable. After well documented benefit in brain AVMs EVOH based embolic angents have been used in several non-neurovascular embolization procedures like peripheral AVMS; embolization of endoleaks after EVAR procedures and also tumor embolization.

Thrombus removal: Although thromboaspiration from peripheral arteries has been introduced many years ago, the technique of transarterial aspiration thrombectomy in patients with acute ischemic stroke has strongly influenced non-neuro thrombectomy. Highly flexible large-bore aspiration catheters are now available also for peripheral arteries, which make peripheral thromboaspiration often much more effective than in former times (4). In selected cases, aspiration thrombectomy may be also combined with retriever thrombectomy, like it as applied in treatment of acute ischemic stroke.

This specifically accounts for mesenteric embolie, where highly flexible but still rather large aspiration catheters are required.

Influenced by the technology of cerebral aspiration catheters large bore catheters with an diameter up to 24F have been developed for pulmonary thrombectomy  treatment in high risk and intermediate high risk patients with pulmonary embolism. Although large bore thrombectomy in pulmonary embolism is still under investigation, it may be assumed that this treatment concept will be a game-changer in the treatment of acute pulmonary embolie.

In summary, neurovascular techniques conceptually influenced non-neuro interventions in 2 ways: First the technique applied – second the development of devices.

Fig. 1: Balloon assisted embolisation of a broad based renal artery aneurysm
Fig. 2: Double balloon assisted embolisation in dual catheter technique was applied
Fig. 3: Successful exclusion of the aneurysm with preservation of both renal artery branches

Prof. Klaus A. Hausegger

Private Hospital Maria-Hilf/AT

Prof. Hausegger began his radiology residency in Graz, Austria during a period of rapid development in interventional radiology. Under the mentorship of Professor Lammer, he gained early exposure to a wide range of procedures. After qualifying as a radiologist in 1991, he attended his first CIRSE Annual Meeting in Oslo and has participated every year since. He continued at the University of Graz as a full-time interventional radiologist, focusing on TIPS, which led to his habilitation in 1994. This interest, supported by Professor Lammer, enabled him to collaborate with Professor Josef Rösch, the “Father of TIPS,” including a fellowship at the Dotter Institute in Portland in 1995. He later developed a strong focus on complex aortic interventions, particularly aortic dissections, culminating in a sabbatical at Stanford University with Professor Mike Dake in 1997. Following Professor Lammer’s departure, he led the interventional and cross-sectional imaging sections in Graz and was appointed assistant professor, while building international collaborations through CIRSE, notably with Professor Krassi Ivancev. Appointed Deputy Chairman in Graz, Prof. Hausegger managed a high-volume service and, driven by an interest in complication management, founded the International Congress on Complications in Interventional Radiology in 1998. In 2002, he became Head of Department in Klagenfurt, Austria, where he established a neurointerventional service and performed the first stroke thrombectomy in 2005. Under his leadership, Klagenfurt developed into a recognized center hosting numerous CIRSE-supported fellows. He recently served as Chairperson of the European Board of Radiology and as Editor-in-Chief of CVIR from 2017 to 2025.
 

References

  1. Das JP, Asadi H, Kok HK, Phelan E, O’Hare A, Lee MJ. Balloon-assisted coil embolization (BACE) of a wide-necked renal artery aneurysm using the intracranial scepter C compliant occlusion balloon catheter. CVIR Endovasc. 2018;1(1):12. doi: 10.1186/s42155-018-0018-0. Epub 2018 Oct 3. PMID: 30652144; PMCID: PMC6319664.
  2. Schob S, Ukkat J, Scharf G, Maybaum Y, Tauber L, Lüdeke C, John E, Büchner KJ, Fiedler R, Frahm C, Wieprecht M, Brandt S, Alsabbagh M, Minasyan A, Simgen A, Brill R, Albrecht J, Wohlgemuth WA, de Bucourt M, Schüngel MS. The treatment of challenging visceral and peripheral arterial aneurysms with flow diversion-a German multicentric observational study. Front Med Technol. 2026 Jan 6;7:1693030. doi: 10.3389/fmedt.2025.1693030. PMID: 41568277; PMCID: PMC12816264.
  3. Discalzi A, Nardelli F, Ficara B, Comelli S, de Donato G, Fanelli F, Quaretti P, Sallemi C, Semeraro V, Sirovich R, Calandri M; DEDICATE Investigators. Study Protocol DEDICATE: Italian Multicenter Study on the Treatment of Visceral Aneurysms with the Derivo Peripher and Derivo 2 Flow Diverter Stent. Cardiovasc Intervent Radiol. 2025 May;48(5):694-701. doi: 10.1007/s00270-025-04016-8. Epub 2025 Mar 13. PMID: 40082273
  4. Grigoriadis S, Maravitsa P, Moschovaki-Zeiger O, Kotsira G, Pournaras A, Anagnostopoylos F, Konstantinos P, Spiliopoulos S. Utility of Neurointerventional Devices in Peripheral Vascular Thrombosis. Cureus. 2025 Nov 10;17(11):e96467. doi: 10.7759/cureus.96467. PMID: 41404248; PMCID: PMC12703039.